Вы хотите установить брекеты для исправления прикуса и хотите узнать стоимость данной услуги в Казани?
На данной странице мы дадим Вам исчерпывающий ответ по ценам на брекеты во всех клиниках Казани.
Для начала, Вы должны понимать, что цена это далеко не первый критерий при выборе клиники и сейчас Вы в этом убедитесь.
Обязательно прочтите следующий текст, иначе Вы потратите деньги и время впустую
![]() | Один из главных критериев выбора – это профессионализм стоматолога ортдонта. Дело в том, что самое важное в установке брекетов – это правильно скорректировать прикус. Начинающие доктора не знают, как правильно произвести расчеты, чтобы уже через пол года прикус был исправлен! Поэтому, если Вы попадете к неопытному ортодонту, процесс исправления прикуса может занять до 3-х лет и при этом никакой гарантии результата. А 3 года ходить с пластинками, Вы сами понимаете, что это очень долго и вызывает кучу неудобств. В нашей клинике ведет прием высококвалифицированный стоматолог-ортодонт, с десятилетним стажем. |
Примеры работ
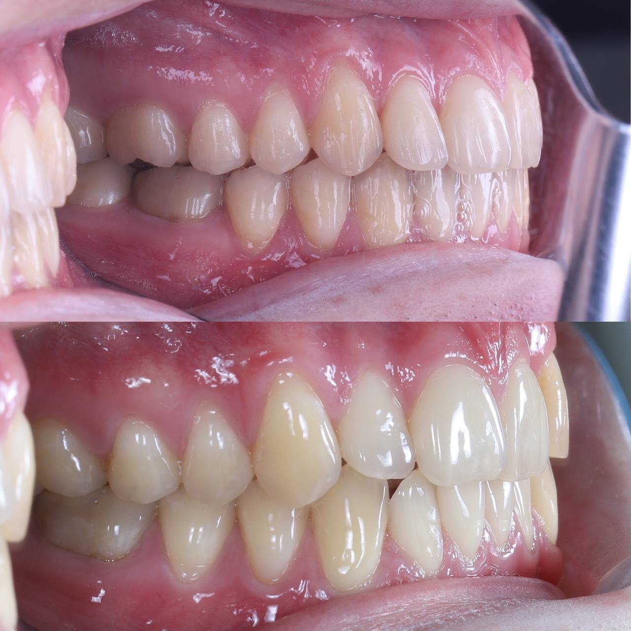
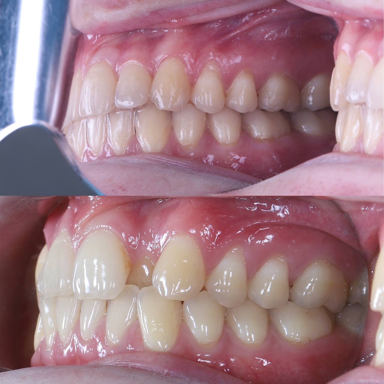
К нам обратилась пациентка, с жалобами на неровные зубы и их расположение
Дано : Суженная верхняя челюсть.
Что мы сделали?
Лечение Было с использованием 3 винтов Дистализировали зубы, создали место для Резцов. Выровняли арку улыбки Создали дисплей. Выровняли центр Зубов. Теперь пациентке предстоит реставрация Зубов, замена пломб и коронок.
![]() | ![]() | ![]() |
![]() | ![]() | ![]() |
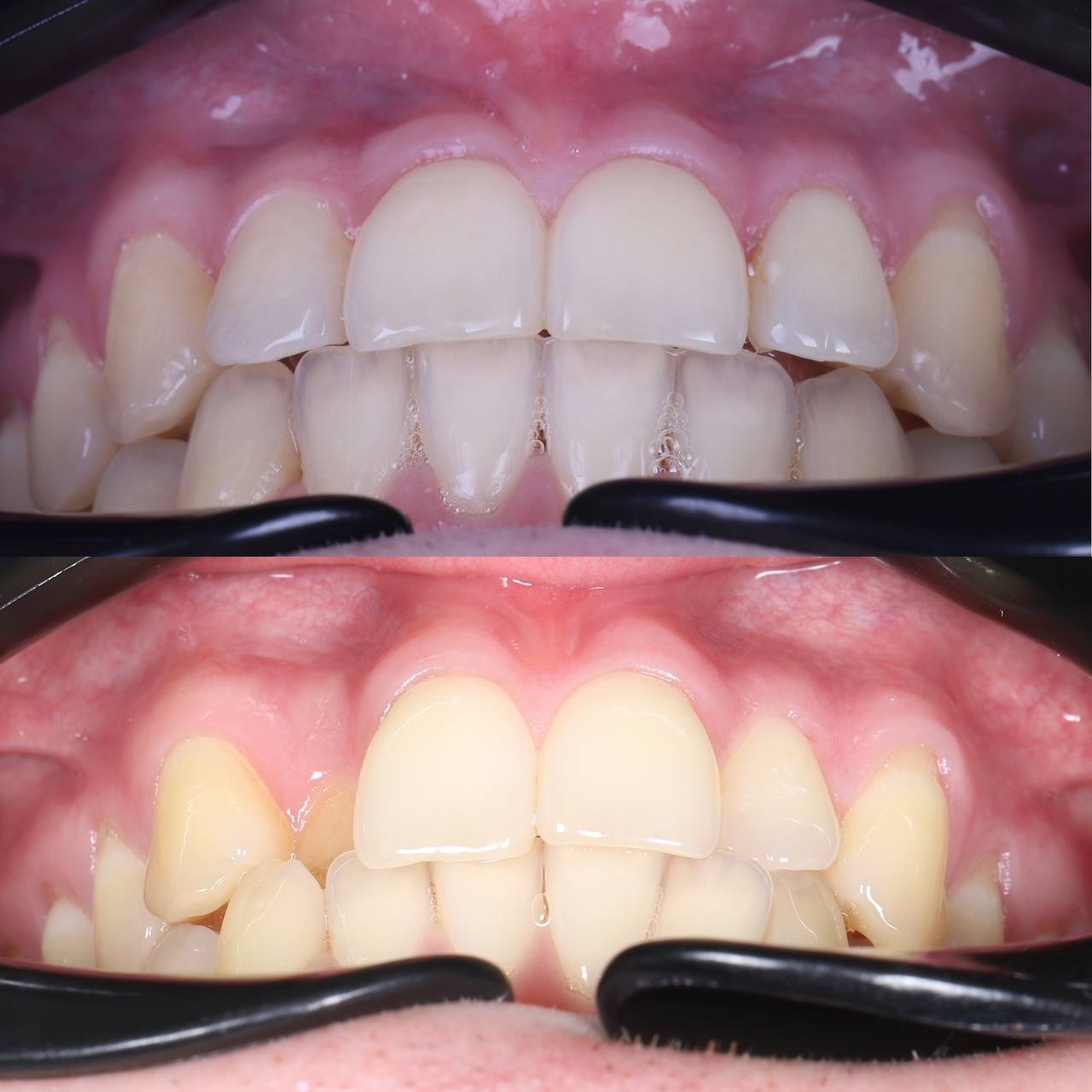
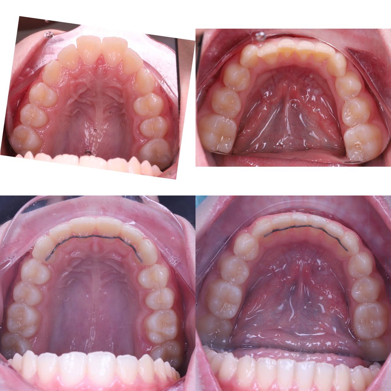
К нам обратился пациент с жалобами на неправильно стоящую двойку, и на неровные зубы. Вытащили зуб наружу. Выравнили кривую Шпея Создали дисплей и арку улыбки и конечно же сделали ровными нижние зубы.
Все это заняло у нас полтора года.
![]() | ![]() | ![]() |
![]() | ![]() | ![]() |
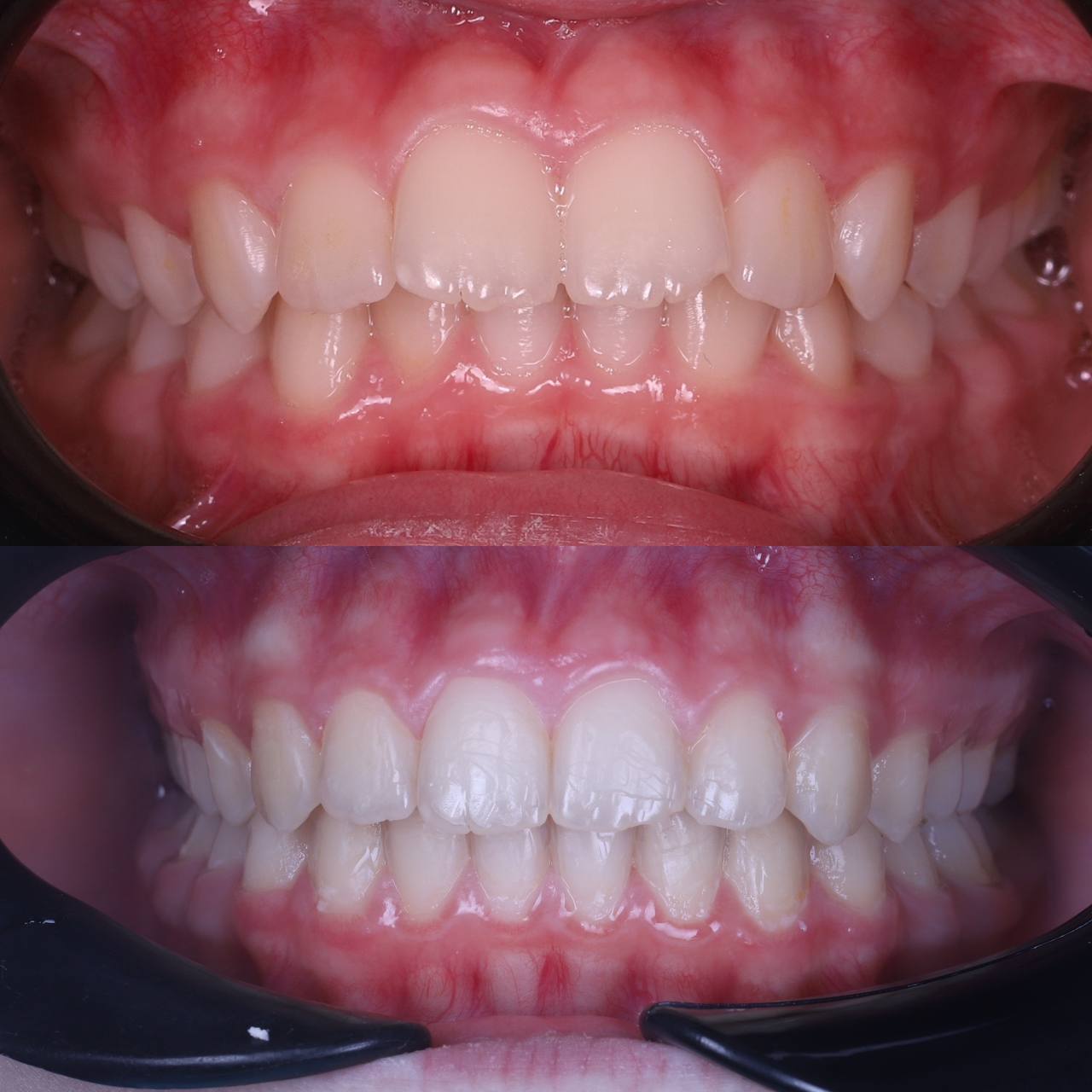
Если у вас примерно такие же проблемы, обращайтесь к нам, мы обязательно поможем и сделаем все что возможно.
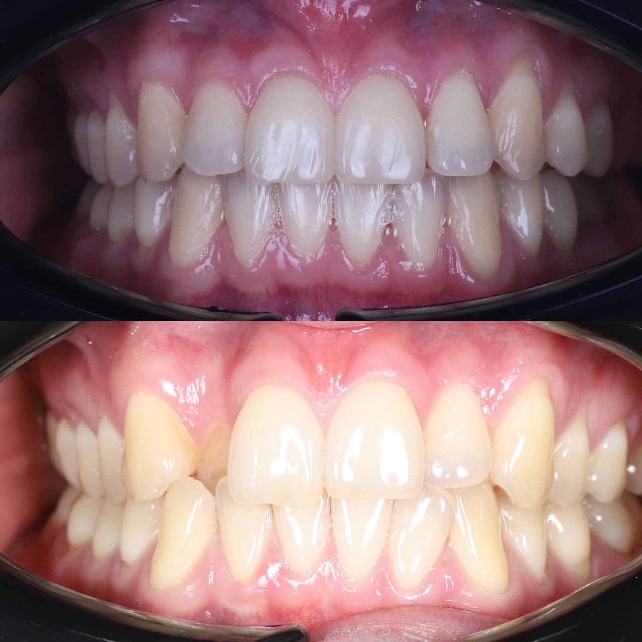
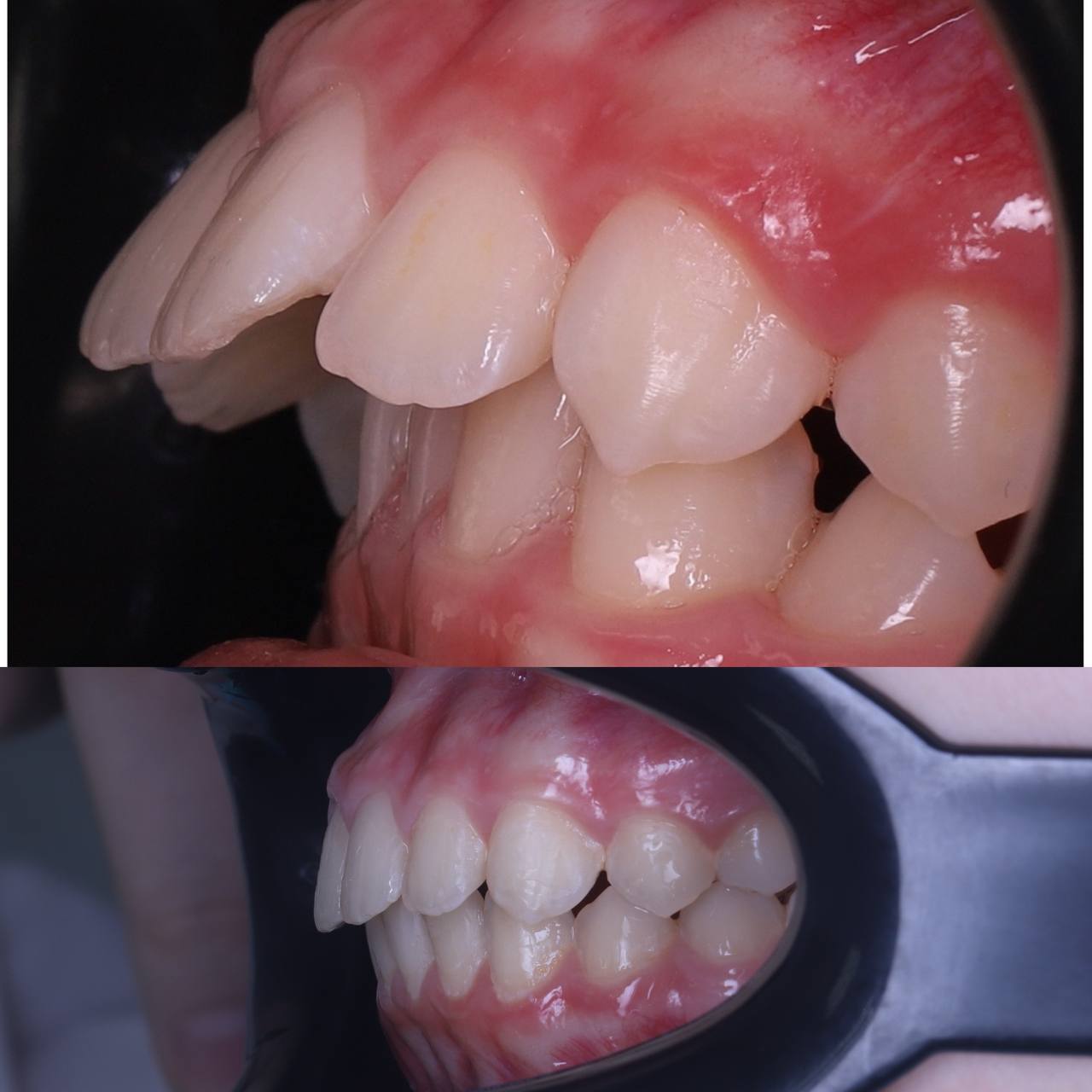
Еще один сложный случай. Попали в пик роста. Вылечили 2 класс, убрали сагиттальную щель и глубокий прикус. Получилось вылечить чисто за счет брекетов и эластических тяг. Пациентка умница, выполняла все рекомендации врача.
![]() | ![]() |
![]() | ![]() |
Наши преимущества
Меняем жизнь людей к лучшему
Теперь что касается цены на установку брекетов и исправления прикуса. Брекеты бывают разные и бывает разная сложность работ.
По виду используемого материала брекеты бывают:
| ![]() | Так выглядят металлические (слева на картинке) и керамические брекеты (справа) |
Также брекеты разделяются по методу крепления:
|
|
Наружные (вестибулярные) |
|
Внутренние (лингвальные) |
В Казани в 99% случаев стоматологическими клиниками используются 2 вида брекетов: металлические и керамические, что касается способа крепления то в подавляющем большинстве случаев используются наружные (вестибулярные брекеты).
Причина использования наружных, а не внутренних брекетов в том, что у внутренних брекетов есть достаточно серьезные недостатки: очень высокая стоимость и значительное нарушение дикции у пациента.
Исправление прикуса без брекетов
Элайнеры
Перед началом лечения проводится диагностика. Затем врач при помощи сканера снимает с зубов пациента высокоточную 3D модель, и в специальной программе создает компьютерную модель желаемой улыбки – именно так, как она будет выглядеть после выравнивания прикуса. После этого информация отправляется в лабораторию компании-производителя, и он изготавливает индивидуальный комплект кап по модели.
Виниры
Исправление прикуса винирами актуально в случаях, когда есть небольшие эстетические дефекты: щели между зубами, минимальная неровность зубов, высота зубов.
Не просто восстанавливаем прикус, а делаем улыбку максимально красивой
Привлекательная улыбка имеет свои вполне четкие стандарты:
- Линия верхних зубов (арка улыбки) должна быть параллельна нижней губе.
- Улыбка должна быть широкой. Чем больше зубов видно в момент улыбки, тем более привлекательной и открытой она воспринимается окружающими.
- Средняя линия улыбки должна совпадать с центром лица.
- Кроме того, чем заметнее при улыбке верхние зубы пациента, тем моложе он кажется. И, наоборот, демонстрация при улыбке нижних зубов добавляет годы.
Поэтому ортодонт обязательно учитывает все выше перечисленные параметры и планирует такое передвижение зубов, чтобы, исходя из имеющихся возможностей, сделать улыбку пациента максимально приближенной к идеалу. После грамотного ортодонтического лечения пациент будет выглядеть более молодым и привлекательным без всякой пластической хирургии. Результаты таких расчетов тоже отражаются в плане лечения.
Восстанавливаем прикус в кратчайшие сроки
- Прием ведут опытные ортодонты. Опыт врача напрямую влияет на сроки исправления прикуса.
- Перед началом лечения осуществляем максимально детальную диагностику на основании ТРГ снимков.
- С помощью специального программного обеспечения с математической точностью производим все рассчеты будущего лечения.
- Используем самолигирующие брекеты - эффект наступает раньше.
Обратите внимание на комфорт посещений — исправление прикуса не быстрый процесс
Узнайте сколько будет стоить исправление прикуса и какие сроки
Узнайте окончательную стоимость и точные сроки лечения на консультации
1На консультации ортодонт определит тип вашего прикуса
Глубокий
Дистальный
Открытый
Мезиальный2Вам будут сделаны ОПГ и ТРГ снимки

3Будут произведены математические рассчеты будущего лечения

4Будет подготовлен детальный план лечения
В силу того, что ортодонтическо лечение достаточно длительный процесс в сравнении с другими направлениями стоматологии, 90% времени у ортодонтов расписано постоянными пациентами и к ним не так легко попасть на прием.
Если график ортодонта заполняется на 100%, новым пациентам приходится ждать освободившегося окна от нескольких месяцев до года.
Запись на консультацию
Не откладывайте, запишитесь на консультацию прямо сейчас, перезвоним через 15 минут
Примеры работ
Все примеры работОтзывы о нашей клинике
Все отзывыМы за честность
Убедиться в наших отзывах легко — просто напишите пациентам, оставившим отзывы, и поинтересуйтесь о качестве услуг и сервиса нашей стоматологии
Пожалуйста, оставьте свой отзыв.
Это очень ценно для нас! Всего несколько слов о качестве, сервисе и результате
Написать отзывНаши врачи
Все врачиВ нашей клинике всегда чисто, уютно и спокойно
Какие инструменты понадобятся для гигиены полости рта
Брекет-системы сами по себе абсолютно безопасны для зубов.
Их использование не вредит эмали и не способствует развитию воспалительных процессов.
Но установка затрудняет гигиену полости рта в целом, а значит, вам потребуется специальный уход за брекетами.
Обычно на упаковке зубных щеток такого типа стоит отметка Ortho.
Ее конструкция отличается от обычной V-образной формы и более тонкой «шеей».
Допускается использование электрощетки.
Устройство с тонким стержнем и длинными щетинками. Помогает легко снять налет в местах крепления самих брекетов, а также под металлическими соединителями.
Особые нитки, при помощи которых можно удалить налет и остатки пищи в межзубном пространстве.
Прибор, обеспечивающий подачу воды под напором. Необходим для промывки мест, в которые ни щеточка, ни нитка добраться не могут.
Несколько правил по уходу за брекетами
- Привыкайте к тому, что к ежедневной чистке зубов утром и вечером прибавятся дополнительные — в течение дня после приема пищи.
Осуществляйте чистку медленно и тщательно, используя поочередно все вышеперечисленные приборы. - Запомните! Чистка каждого зуба не может занимать меньше 10-15 секунд.
Иначе процедура просто неэффективна. - Приобретите антибактериальный ополаскиватель на случай, если после еды у вас нет возможности сразу почистить зубы.
- Не пропускайте процедуры профессиональной чистки зубов в стоматологии.
Во время лечения брекетами проходить ее необходимо не реже одного раза в квартал.
Попросите стоматолога расписать график посещений для чистки и строго ему следуйте.
Этапы установки брекетов
Проконсультируем вас по условиям и стоимости лечения, подберём врача и запишем вас на приём.Консультация займёт всего 20–40 минут
Отзывы о стоматологии и репутация














































